Welcome to
The Enamel Boutique
My name is Sarah Geark, BSRDH, MA - the owner and operator of The Enamel Boutique, LLC. I offer a Blue-light LED Professional In-Office Whitening Treatment. I use USA made whitening gels that provide instant results and minimal post-op sensitivity. I have partnered with the Doctors at Warm Springs Dental to provide outstanding care and attention to detail. If you have any questions, please don't hesitate to contact me directly. You can find my contact information on the contact page. If you need dental services, such as a teeth cleaning, exam or fillings, please contact Warm Springs Dental directly: The Official Team Dentist of the Portland Trail Blazers!

Whitening FAQ's
Which Gel Strength is right for me?
Depends! If you have generalized very sensitive teeth (for example, you can't suck in air without pain) then I would suggest starting off with 22%. If you have some cold sensitivity, but only when drinking ice tea, etc, and no pain when brushing/sucking in air, then 35% is perfect for you.
With every treatment, I completely cover your gums with a protective plastic barrier so none of the gel comes into contact with your tissues. IF YOU HAVE RECESSION OF YOUR GUMS, not to worry, I also cover the roots of your teeth with that protective barrier so that this is not an issue.
Lastly, I send everyone home with a desensitizer as part of their package. This is potassium nitrate/magnesium chloride gel pen that keeps your teeth from absorbing pigment AND keeps you from being sensitive.
Is this whitening treatment for everyone?
This treatment delivers exceptional results to people whose teeth have been stained by smoking or by substances like coffee, tea, wine or cola drinks. However pregnant women and children under 14 are discouraged from this professional whitening treatment. Children under 18 must get parental consent and parent signature on the consent form.
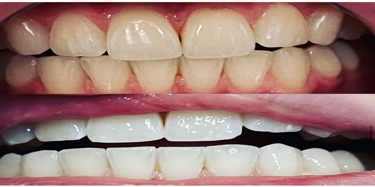
Each patient will respond differently to whitening treatment, but typically, at the very least, a patient can achieve 4 shades lighter than their current tooth shade. Depending on the patient, results can often go up to 14 shades lighter. Again, this depends on fluoride content within the tooth structure itself. Prior to the start of treatment, we will take a shade of your teeth to see how far you’ve come by the end of the process.
Can anyone bleach their teeth so they become "snow-white"?
Unfortunately, no. Some people are born with close to snow-white colored teeth, but most have varying shades of yellow, gray, or a combination of both. Professional Cosmetic Teeth Whitening does often times produce amazing results, and many will say, “Wow!” after their whitening procedure is completed. The vast majority of patients are extremely pleased with their results.
How long will the whitening last?
This varies from person to person and depends on your diet, genetics, and porousness of teeth, but the effects should usually last three-six months, but most patients come back on a yearly basis. This does not mean your teeth shade will stay the same for that time frame. It may slowly or quickly re-stain depending on your diet and your teeth. Everyone is different. That's why we offer follow-up treatments, which most people do every three-six months at a reduced price (up to one year for discount).
TIPS to make whitening results last longer!
You will go home with a desensitizing gel/sealant, which can be used until your product runs out! This will help to seal off the outer layer of your tooth structure and prolong your results. Also, use an electric toothbrush, drink high-staining drinks through a straw (coffee, red-wine, etc), and rinse with water after high-pigmented foods are consumed. If you are a current patient of Warm Springs Dental, then use their trays/gels for at-home whitening to keep your smile brighter longer. If you do not have at home trays and gels, please let me know and I can connect you with the right products.
Is it safe?
Yes, scientific studies have shown that using peroxide to whiten teeth is both very effective and very safe. Many dentists consider this process to be the safest cosmetic dental procedure available. It does not change or damage the structure of teeth; it merely makes teeth whiter and brighter, as the stain molecules are broken up and made less visible to light and the human eye.
How long does a treatment take?
A total of 60 minutes, broken up into 20-minute segments. You will be rinsed in-between each 20 minute interval and re-applied with fresh gel. BUT - please plan to be at your appointment for at least 1 and 1/2 hours due to intake and application of gum protectant.
Will it whiten my existing crowns or veneers?
Our whitening treatment cannot change the color of porcelain crowns or veneers. Whitening will only work on natural teeth. If you are needing whitening prior to replacing an anterior filling or receiving a crown, please contact me first so that I can co-ordinate with Dr. Euzent and Dr. Ellis to get you the best results. We would plan to whiten your teeth about 2 weeks prior to your restoration being placed.
What will I experience during this procedure?
You may feel a slight tingling and bubbling against your teeth for the first few minutes. This is normal and is the sign that the gel is producing the oxygen that does the work of bleaching. I will also cover your gums with a protective layer of dental gingival barrier to make sure that any contact with the hydrogen peroxide is minimal.
Will it hurt? What are the risks?
Most of our patients experience little to no pain or sensitivity of the teeth and gums after the treatment. You may feel more sensitive the following day and this is why a desensitizing agent is given for your home usage. During the procedure, a gingival protectant is placed over your gums to prevent contact with the gel. However, there is a possibility that some gums may turn white – this is like putting hydrogen peroxide on a cut; it will be white temporarily and slough off the next few days without permanent damage.
Does the process cause damage to teeth enamel or nerves in teeth?
No. Research has shown that bleaching with peroxide-based gels does not harm the enamel. This type of bleaching has been done for over twenty years, even with stronger whitening gels than what we use, and no damage to enamel has occurred. The scientific literature also shows that neither the gel nor the light that we use will cause any nerve damage.
Do you have to be a dentist to whiten teeth?
BEWARE OF "Dental Spas" and Unlicensed Individuals Pretending to be "trained" to whiten teeth in an unsterilized environment!!!! That's why they are CHEAP!
The American Dental Association and the Oregon Board of Dentistry require anyone who is performing professional teeth whitening services to be licensed to do so. I am a licensed, Registered Dental Hygienist and I will be watching over the entire process. Dr. Euzent and Dr. Ellis are the owners of Warm Springs Dental and oversee all operations, including chart entries and visual exams. If you are not an existing patient with Warm Springs, intra-oral photos will be taken prior to the whitening, to be reviewed by the Doctors as a visual exam for your protection.
How long before I can eat or drink anything after completing this process?
You can eat right away but avoid any heavy pigmented foods and drinks for the first 24 hours. A sealant material will be placed on your teeth before you leave your appointment, however, it is best to avoid these items as you want to preserve your whitening as long as possible!
I have splotchy teeth with mottled tan, brown, and white spots on them. Will this process repair this?
No, this type of staining is known as fluorosis or localized demineralization. It was caused by the uptake into the enamel of excessive amounts of fluoride while the patient’s permanent teeth were forming. Cosmetic Teeth Whitening will not help excessively fluorosed teeth. White spots lesions are a result of demineralization that has taken place on the outer surface of the enamel and will temporarily become more prominent directly after the whitening but will fade over the following few days.
Do a lot of people get their teeth whitened?
Cosmetic Teeth Whitening is the second most requested treatment procedure after hair treatments in the beauty world. More people than you might imagine have their teeth whitened. A nice bright white smile can make a big difference in the way a person feels about themselves and can help boost confidence in almost any social setting.
Can you tell me more about the process and how it compares to other teeth whitening systems?
Absolutely! I use USA made dental gels that are 22% & 35% carbamide peroxide. Each segment is 20 minutes in length, 3x, for a total of 60 minutes in the dental chair (not including time for in-take/photos if necessary). Each appointment with be approx. 1-1/2 hours in length.
Typical at-home applications are timely and don't always give the best results or even make a visible difference. With the DaVinci Blue Light laser, our gels are safely activated to bring about the chemical reaction that is needed to reflect light off of your enamel in a way that makes them appear lighter and more brilliant. What makes this different is that you are receiving a high-powered, instantaneous results while under the safety of a licensed clinical registered dental hygienist.
What is the science behind Cosmetic Teeth Whitening?
Here is an excellent website from a dentist in Texas! The anatomy of tooth structure is explained, as well as an in-depth look into the science of teeth whitening. Check it out here!
If you have any questions, please do not hesitate to call or text: 541-979-5454
info@enamelboutique.com